|
Andrada,
M., Fernández,
A., Del Pozo, M. y Sánchez-Vizcaíno,
J.M.
|
El punto central sobre el que
se orientan la mayoría de los estudios de la patogenia
de está enfermedad es la interacción
entre el micoplasma y la membrana citoplasmática de
las células epiteliales de las vías respiratorias
(Fig. 1).
M. hyopneumoniae es un
microorganismo extracelular cuya presencia sobre la mucosa
del aparato respiratorio disminuye en el curso de la enfermedad,
llegando prácticamente a desaparecer en las fases más
avanzadas de la misma, pudiendo persistir o potenciarse su
permanencia cuando esta asociado a una nueva bacteria secundaria
recientemente descrita en porcinos, denominada (CAR-bacillus)
(Cilia Asociated Respiratory Bacilllus).
|
|
|
|
|
|
El período de incubación de la NEP, así
como el período activo de enfermedad (aquel en el que
se manifiestan síntomas y signos clínicos) probablemente
dependan de la exposición de los animales susceptibles
y de la virulencia de la cepa comprometida. Estos cerdos desarrollan
lesiones pulmonares evidentes a partir de los 7 a los 10 días
después de la infección (Fig.
2).
|
| La infección se origina normalmente
cuando los lechones que poseen anticuerpos maternales son trasladados
a las naves de engorde después del destete. Así,
los lechones pasan inicialmente protegidos a estas naves, pero
al perderlos quedan expuestos a los aerosoles
contaminados con Mh procedentes de los animales de mayor
edad que permanecen en la nave (Fig.
3). |
|
|

|
|
Una vez que estos cerdos susceptibles
se infectan con Mh, éste se adhiere al epitelio
ciliado de las vías respiratorias (Fig.
4). Con el tiempo, el agente causal se multiplica y
avanza por el árbol bronquial. La adhesión de
M. hyopneumoniae al epitelio respiratorio es un fenómeno
que, resulta de gran importancia en la patogenia de la enfermedad,
ya que es el grado de adherencia el que determina la patogenicidad
de las diferentes cepas de M. hyopneumoniae.
|
|
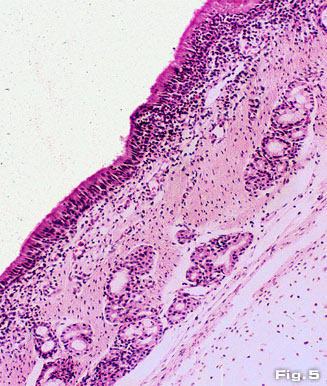
La adhesión del micoplasma a los cilios de las células
epiteliales provoca, por un lado, su pérdida, (Fig.
5) comprometiendo el mecanismo defensa y por otra,
un efecto citopático sobre la célula lo que
se atribuye, no sólo a la capacidad de adhesión,
sino también a una competencia metabólica entre
el agente patógeno y la célula epitelial. La
muerte celular consiguiente y su descamación provocan,
como respuesta, una hiperplasia epitelial que intenta reparar
la pérdida de las células (Fig.
6) (Kobisch y Friis, 1996).
|
|
|
| 
|
|
En la adhesión del micoplasma
a las células epiteliales ciliadas juegan un papel
importante el material capsular y las fibrillas del micoplasma.
La importancia de esta interacción micoplasma-célula
es tal que una de las medidas preventivas que se pretenden
alcanzar en el futuro es impedir, de algún modo, esa
unión entre la membrana celular y la del micoplasma.
El tipo de consolidación pulmonar observado en la
neumonía micoplásmica porcina refleja una distribución
broncogénica que compromete la limpieza mucociliar
(Fig. 7).
En cuanto a la transmisión, la principal fuente de
infección en una granja es la introducción de
cerdos con infección aguda o portadores. Se cree que
la Neumonía Enzoótica se mantiene en las granjas
infectadas, por tres mecanismos:
- Por transmisión de M. hyopneumoniae de
cerdas infectadas a sus lechones.
- Por transmisión de cerdos infectados a otros cerdos
en la fase de lactación y transiciones.
- Y por transmisión de cerdos de las fases de crecimiento
y acabado a cerdos más jóvenes que entran
en estas instalacione.
|
| Cuando los lechones se infectan
a una edad muy temprana, los propios animales afectados se
convierten en excretores de Micoplasma. Una vez se
infecta la granja, M. hyopneumoniae se extenderá
lentamente a toda la población susceptible. Los lechones
recién nacidos son infectados por hembras cuya función
es la de animales portadores (transmisión vertical).
Es más, son mayoría las hembras primíparas
las que excretan M. hyopneumoniae, infectando así
directamente a su descendencia. La excreción de micoplasma
por las hembras primíparas es atribuible a la baja
inmunidad contra el micoplasma en estas cerdas.
Es menos probable que transmitan la enfermedad a su descendencia
las cerdas más mayores que las cerdas más jóvenes.
Los cerdos también pueden ser infectados por otros
cerdos (transmisión horizontal); el Micoplasma
se trasmite de unos animales infectados a otros por aerosol
(transmisión por vía aérea) o por contacto
directo con las secreciones respiratorias de los animales
infectados.
La propagación de M. hyopneumoniae de una granja
a otra es más probable cuando hay poca distancia entre
granjas, cuando la zona es de alta densidad porcina es densa
y cuando hay distancias cortas de la explotación a
rutas de alto tráfico de porcino.
|
|

|
|
Los riesgos más altos de infección están
presentes en los sistemas continuos, debido a la incorporación
continua de cerdos nuevos a la granja. Los cerdos libres de
micoplasma se infectan al entrar, y los animales infectados
por M. hyopneumoniae propagarán la infección
cuando entren en una granja libre de micoplasma. La diseminación
por vía aérea es la principal amenaza de las
granjas libres con un sistema cerrado de manejo. La infección
transmitida por vía aérea es, por tanto, difícil
del evitar en las granjas LNE; es más, a menudo es
imposible llevar a cabo un seguimiento del periodo inicial
de infección, puesto que la NE puede permanecer subclínica
si no tienen lugar infecciones secundarias de importancia.
Los poderosos sistemas de ventilación de las unidades
modernas de engorde de ganado porcino pueden dispersar las
partículas infecciosas sobre un área muy extensa.
Se han descrito brotes de Neumonía Enzoótica
en granjas libres de Neumonía Enzoótica a menos
de 3,2 km de distancia.
|
|
Los factores ambientales generales que también deben
tenerse en consideración son el tamaño de la
granja y la densidad de la población porcina.. El riesgo
de NE aumentará con el tamaño de la granja,
pero existe una enorme variabilidad partiendo de valores medios
debido a la interferencia de otros factores de predisposición.
Una vez que la piara se ha infectado con M. hyopneumoniae,
la infección se volverá enzoótica, aunque
los síntomas clínicos variarán dependiendo
de la gestión de la piara, la concentración
de cerdos, el empleo de antibióticos, las infecciones
secundarias.
|
Imprimir
|