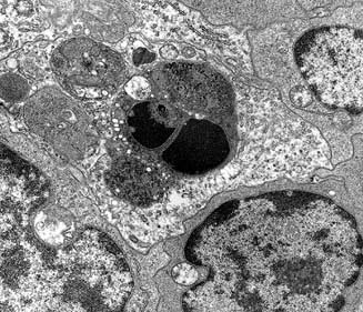
Curso de Enfermedades Infecciosas Porcinas / V-Fagocitosis
Galería Fotográfica - Peste Porcina Clásica

Anterior Inicio Siguiente

V-Fagocitosis

Virus FAGOCITOSIS