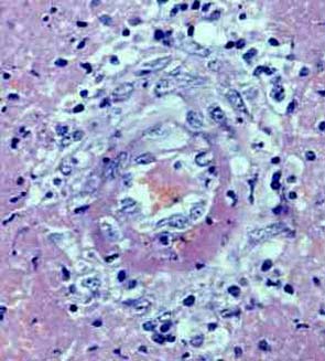
Curso de Enfermedades Infecciosas Porcinas / V-Hialinizacion
Galería Fotográfica - Peste Porcina Clásica

Anterior Inicio Siguiente

V-Hialinizacion

Virus HIALINIZACION: Arteria esplénica en la que se observa hialinización de su pared.