Curso de Enfermedades Infecciosas Porcinas / Estreptococo
Galería Fotográfica - Peste Porcina Clásica

Anterior Inicio Siguiente

V-Estreptococo

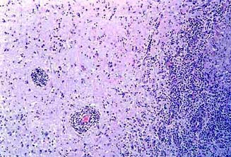
ESTREPTOCOCIA: Meningoencefalitis purulenta.