|
La
PPC puede presentar ciertas similitudes clínico-lesionales con otras
enfermedades del ganado porcino, y aunque el diagnóstico definitivo
es laboratorial, hay datos clínico-lesionales de gran valor diagnóstico.
La Peste
porcina africana (PPA) presenta un cuadro clínico-lesional muy
similar al de la PPC, pero con algunas significativas diferencias.
Así, la PPA no cursa con síntomas
nerviosos ni presenta una meningoencefalitis
no purulenta. En la PPA aguda,
la lesión esplénica consiste en una esplenomegalia
hiperémica, no produciéndose infartos
esplénicos.
|

SALMONELOSIS: Lesión intestinal.
|
|
La salmonelosis
porcina cursa con la formación de lesiones intestinales
similares a los "botones pestosos", por lo que
podría dar lugar a errores diagnósticos en caso de PPC
crónica. El infiltrado de polimorfonucleares neutrófilos
rodeando a la lesión y la existencia de focos de necrosis
en el hígado serían indicativo de salmonelosis.
|
|
Otra enfermedad que cursa
con sintomatología nerviosa en lechones es la estreptococia
porcina, pero en este caso los animales presentan
una meningoencafalitis
purulenta y otros lechones de la explotación pueden
presentar artritis,
no afectándose los animales adultos.
La
leptospirosis porcina puede cursar con un cuadro similar
al de la PPC aguda, pero la intensa necrosis hepática
que se produce en esta enfermedad bacteriana tiene carácter
diferencial, además de no presentar las lesiones que se
desarrollan en los órganos linfoides en la PPC.
|
|

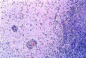
ESTREPTOCOCIA:
Meningoencefalitis purulenta.
|
| En general, la PPC debe
ser descartada ante cualquier caso que curse con cuadro
hemorrágico o de sintomatología nerviosa. |
Imprimir
|