|
La
Peste porcina clásica suele presentar diferentes formas clínicas
cuya sintomatología y lesiones pueden confundirse con las
de otras enfermedades hemorrágicas del cerdo.
|
|
CUADRO
CLÍNICO Y LESIONES
|
La PPC puede
presentar diferentes formas clínicas: hiperaguda,
aguda, subaguda y crónica. Además, la infección
transplacentaria puede dar lugar a diversas afecciones fetales
y neonatales, así como a infecciones persistentes, dependiendo del
momento de la gestación en la que se produce la infección.
| V.1.
FORMA CLÍNICA HIPERAGUDA |
En la forma clínica
hiperaguda, la morbilidad y la mortalidad son muy elevadas,
muriendo los animales afectados en los 5 primeros días después
de la infección y estando reducida la sintomatología a un aumento
de la temperatura (alrededor de 41ºC).
En la necropsia, los cambios que se observan son inespecíficos:
congestión y edema
pulmonar y congestión del
hígado y del tracto gastrointestinal (fig. 1), con poca evidencia
de hemorragias. |
|
Fig. 1. Congestión y hemorragias en la pared intestinal.
|
La
forma clínica aguda se caracteriza por morbilidad alta y muerte
de los animales entre los 10 y los 20 días después de la infección.
La tasa de mortalidad y los signos clínicos de la enfermedad pueden
variar dependiendo de la virulencia de la cepa y del estado de inmunidad
de la población porcina afectada.

Fig. 2: Intensa congestión de
la conjuntiva de un lechón afectado de PPC.
|
|
Los
animales afectados presentan fiebre (42ºC), apatía o baja
actividad, disminución del apetito, adelgazamiento y embotamiento,
los animales se hacinan y aparecen temblores, conjuntivitis
(Fig. 2) con marcada descarga ocular, descarga nasal, estreñimiento
que evoluciona a diarrea color gris amarillento y puede haber
vómitos con un alto contenido en bilis (color amarillo-verdoso).
Desde las primeras fases de la enfermedad existe congestión
cutánea (fig. 3), que
afecta sobre todo a las orejas, el hocico, el abdomen y la
cara interna de las extremidades, y que puede progresar a
cianosis en fases más
avanzadas. También pueden observarse hemorragias de diferente
intensidad en las mismas zonas (fig.
4). Coincidiendo con la aparición de la fiebre, se desarrolla
leucopenia, debido principalmente
a una intensa linfopenia,
y trombocitopenia, que
persisten hasta la muerte.
|
En
la fase terminal de la enfermedad, los cerdos tienen una marcha
ondulante debida a debilidad
y parálisis del tercio posterior, que posteriormente se generaliza y los animales permanecen
tumbados sobre un costado y moviendo continuamente las extremidades
como si estuviesen remando (Fig. 7).
|
En
la necropsia, las lesiones características de la PPC corresponden
a las de una enfermedad hemorrágica con petequia
en la mayoría de los sistemas orgánicos.
Estas hemorragias son más constantes en los riñones (Fig.
8), la vejiga urinaria (Fig.
9) y los ganglios linfáticos (Fig.
10), seguidos del bazo, la laringe (Fig.
11), la piel y las mucosas (nariz, tráquea, conjuntivas,
estómago, intestino y vesícula biliar) y las serosas (pleura
(Fig.12), pericardio
y peritoneo). Las infecciones secundarias bacterianas
pueden intensificar e incluso modificar los hallazgos
macroscópicos.
|
|

BAZO con múltiples infartos
localizados en el borde del órgano y sobre su superficie.
Nótese la forma triangular de esta lesión.
|
Los
infartos en
bazo tienen un alto valor diagnóstico, pero no se observan
en todos los brotes. Estos infartos tienen forma triangular, están
muy bien delimitados, elevados y son de color oscuro o pálido (Fig.
13 y Fig. 14).
|
En
la corteza renal se observan hemorragias de tamaño y cantidad
variable, generalmente
petequias, lo que unido a una palidez generalizada del riñón
le dan el característico aspecto de "riñón en huevo de
pava". También se presentan hemorragias en la pelvis
renal y las hemorragias de la mucosa de la vejiga urinaria
son muy características, particularmente a nivel del cuello.
En el aparato digestivo se suelen observar fenómenos de necrosis
en la lengua, la faringe y las tonsilas, y es frecuente observar
tonsilitis bacterianas secundarias. En intestino delgado y
grueso, y especialmente en la válvula ileocecal, existe hiperemia
de la mucosa y aumento de tamaño de las placas
de Peyer, que posteriormente se transforma en inflamación
difterioide, generalmente localizada sobre estructuras
linfoides intestinales.
|
Tabla I. Lesiones macroscópicas más frecuentes en cerdos
infectados experimentalmente con el virus de la PPC:
|
LESIONES
MACROSCÓPICAS
|
FRECUENCIA
PRESENTACIÓN
|
DÍAS
PRESENTACIÓN
|
| Petequia
en corteza renal |
25/35
|
4-18
dpi
|
| Petequia
en mucosa vejiga urinaria |
23/35
|
4-18
dpi
|
| Hemorragias ganglios
submandibulares |
12/35
|
4-18
dpi
|
| Infartos
en bazo |
20/35
|
4-14
dpi
|
| Tonsilitis purulenta-necrótica |
12/35
|
4-14
dpi
|
| Necrosis
en piel |
2/35
|
9
y 18 dpi
|
| Focos neumónicos |
5/35
|
5,
8, 14 dpi
|
| Gastritis catarral |
5/35
|
5-9
dpi
|
| Necrosis
vesícula biliar |
2/35
|
8
dpi
|
En esta forma clínica,
la muerte de los animales se produce entre 20 y 30 días después
de la infección. Las manifestaciones clínicas son similares
a las de la forma aguda pero de menor intensidad, y el período de
incubación es más prolongado. La tasa de mortalidad suele ser menor
del 30%.
|
El
cuadro lesional también es similar al de la forma aguda, aunque
hay lesiones más caraterísticas de los cursos subagudos. Así,
las "úlceras botonosas" o "botones pestosos"
(Fig. 17 y Fig. 18) en el
intestino se consideran con un alto valor diagnóstico en la
PPC subaguda. Consisten en áreas de necrosis circulares y
concéntricas muy bien delimitadas, de unos pocos milímetros
a varios centímetros de diámetro, asociadas a estructuras
linfoides del intestino.
|
|
Fig. 17. Botones pestosos en la valvula ileocecal. Congestión
de la mucosa intestinal.
|
La
forma clínica crónica de la enfermedad se define como una enfermedad
letal en la que los cerdos sobreviven más allá de los 30 días después
de la infección. Generalmente, el curso es muy lento,
y suele haber afectación predominante de algún sistema orgánico
(pulmón, tracto gastrointestinal, sistema nervioso central, piel).
Además, las infecciones bacterianas secundarias son muy frecuentes,
por lo que el cuadro clínico puede ser confuso. De ahí el nombre
de "peste porcina atípica" que recibe esta forma de la
enfermedad.
La PPC crónica presenta por períodos prolongados e intermitentes
de fiebre y viremia. Además,
se pueden presentar flojera, retraso del crecimiento, apetito caprichoso
y grados variables de tos, diarrea y emaciación.
Lesionalmente, existen escasos cambios vasculares. En el intestino
grueso pueden verse, ocasionalmente, "botones pestosos",
pero la lesión más frecuente es una enteritis difteroide difusa.
| INFECCIONES
TRANSPLACENTARIAS: PATOLOGÍA FETAL Y NEONATAL E INFECCIONES
CONGÉNITAS PERSISTENTES |
El virus de la PPC puede atravesar
fácilmente la placenta. La infección de hembras gestantes con cepas
de moderada o baja virulencia o virus vacunales atenuados puede
dar lugar a distintas anomalías fetales y neonatales que dependen
del momento de la gestación en el que se produce la infección y
de la virulencia del virus (Tabla II). Las principales alteraciones
que se pueden producir son las siguientes:
1. Abortos.
2. Momificaciones fetales.
3. Malformaciones fetales: Asociadas, generalmente, a la
infección de las cerdas gestantes con virus de campo de baja virulencia
o virus vacunales. Las malformaciones descritas son: hipoplasia
pulmonar, malformaciones de la arteria pulmonar, micrognatia,
artrogriposis, fisuras en la
corteza renal, septos múltiples en la vesícula biliar y malformaciones
en el encéfalo. Cuando más temprana sea la infección, más graves
serán las anomalías.
4. Lechones nacidos muertos o débiles.
5. Mioclonia congénita:
Se especula con la posibilidad de que una cepa específica pudiera
ser la responsable de la mioclonia.
En algunos casos se observa una base morfológica de esta enfermedad,
con hipoplasia cerebelar o hipomielogénesis.
6. Muertes perinatales.
|
7. Infección persistente
en lechones: Los lechones parecen sanos, aunque son virémicos,
y esta viremia puede persistir de por vida. Algunos animales
pueden desarrollar la enfermedad sobre las nueve semanas de
vida, y presentan un cuadro clínico similar al de la PPC aguda.
En la necropsia, la lesión más importante es una marcada atrofia
del timo (Fig. 19 y Fig 20).
Los cerdos con infección congénita persistente no producen
anticuerpos específicos contra el virus de la PPC.
|
|

Fig. 19: Atrofia tímica en la
que se ha perdido la zona de la corteza (linfocitos T).
|
Tabla
II. Resultados de la infección
experimental en cerdas gestantes
con el virus de la Peste porcina clásica |
DÍAS
DE GESTACIÓN
|
|
40d
|
70d
|
90d
|
| Crecimiento
normal |
24%
|
15%
|
56%
|
| Mortalidad
prenatal |
54%
|
33%
|
22%
|
| Mortalidad
postnatal |
22%
|
37%
|
19%
|
| Viremia
al nacimiento |
41%
|
56%
|
35%
|
| Viremia
persistente |
-
|
19%
|
30%
|
| Retraso
en crecimiento |
-
|
15%
|
5%
|
| HALLAZGOS
MICROSCÓPICOS EN LA PPC |
Las lesiones microscópicas
más frecuentes en la PPC son las vasculares y la depleción
(Fig. 21) del tejido linfoide.
Los edemas y las hemorragias
no se ven asociados a cambios morfológicos en la pared vascular
en su instauración, pero en fases avanzadas de la enfermedad
y en casos de campo existe incremento de tamaño de las células
endoteliales, hialinización
(Fig. 22) de la pared vascular
y microtrombosis (Fig.
23) en arteriolas, vénulas y capilares.
En los órganos y estructuras linfoides se produce una disminución
de los linfocitos asociada a fenómenos de apoptosis.
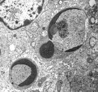
(Fig. 24) |
|
Fig. 24. APOPTOSIS: Linfocitos
en apoptosis con condensación y marginación de la cromatina
y sin cambios morfológicos en el citoplasma.
|
Una de las lesiones más característica
de la PPC es la meningoencefalitis
no purulenta (Fig. 25), caracterizada por infiltrado celular mononuclear perivascular.
Imprimir
|