|
El agente
etiológico de la PPA es un virus DNA con envoltura,
de gran tamaño y de simetría icosaédrica.
Posee características morfológicas
similares a los Iridovirus,
y la organización del genoma viral
es semejante a los Poxvirus.
Recientemente ha sido reclasificado en
una nueva familia Asfarviridae, género Asfivirus
del cual es único miembro.
|
|
|
|
La partícula viral,
de 200 nm de diámetro, está compuesta por tres
envolturas concéntricas, con una envoltura externa
adicional de forma hexagonal que adquiere al salir por gemación
a través de la membrana de la célula infectada.
La cápside
de forma hexagonal y simetría icosaédrica, engloba
a un núcleo electrodenso, de 80 nm de diámetro,
que se encuentra rodeado de una envoltura lipídica.
|
|
Características
de la partícula viral
|
|
Tamaño medio de unos 200 nm
|
|
Núcleo electrodenso de 80 nm
|
|
Al menos tres envolturas , y una adicional en el virus
extracelular
|
|
|
|
Características
del genoma viral
|
| Masa
molar: 100,1 gr mol-1 |
| Densidad
en ClCs: 1,7 gr. Cm3 |
| Coeficiente
de sedimentación: 60s |
| Longitud:
58nm |
|
|
Las particulas virales son termolábiles y sensibles
a solventes lipídicos, pero muy resistente a un ámplio
rango de pH.
|
Algunas características
fisico-químicas del vPPA
|
| -
Se inactiva a pH <4 y pH >11, aunque dependiendo
del medio en que se encuentre la inactivación puede
necesitar horas o incluso días. |
| -
Se inactiva por calor a 56ºC durante 60-70 min. y
60ºC durante 20 min. |
|
Inactivantes/Desinfectantes:
|
| -
Hidróxido sódico al 2% durante 30 min. |
| -
Hipoclorito (cloro al 2-3%) durante 30 min. |
| -
Formalina (3/1000) durante 30 min. |
| -
Compuestos fenolicos |
| -
Compuestos de Yodo |
|
|
|
|
La
replicación ocurre en el citoplasma celular, aunque la
síntesis del DNA viral ocurre en el núcleo. El
vPPA posee su propia enzima transcriptasa , una RNA polimerasa
DNA dependiente.
En el interior de la particula viral se encuentra el DNA
viral de doble cadena de 170-190 kb, dependiendo del
aislado viral, similar al virus de la vacuna (virus vaccinia),
con los extremos unidos covalentemente
y repeticiones terminales
invertidas (RTI).
|
|
Estudios de variabilidad demuestran que el
DNA viral está constituido una
región central más conservada (con una región
que exhibe cierta variabilidad) de aproximadamente 125 kb
y dos regiones variables
situadas en los extremos de la molécula, donde se localiza
la mayor diversidad entre aislados. En base a la conservación
de la región central del genoma distintos aislados
de VPPA se han clasificado en grupos distintos.
|
|
El genoma viral del aislado Ba71 se ha secuenciado en su
totalidad. El DNA comprende 170.701 nucleótidos y contiene
151 fases de lectura abierta (ORFs), y 5 familias
multigénicas (FMGs).
Las FMGs se encuentran localizadas
adyacentes a la RTI, hacia el interior del genoma, en las
regiones variables terminales. Se conocen al menos 5 FMGs,
la FMG360, FMG530, FMG110, FMG300, FMG505, y es donde se localizan
las mayores diferencias entre los distintos aislados de VPPA,
lo que podría indicar que estas zonas están
relacionadas con la generación
de la variabilidad antigénica del virus, siendo
éste un posible mecanismo de evasión del virus
del sistema inmune.
|
|
| Algunas
características de las regiones variables terminales:
|
| En
la región variable izquierda, se encuentran
las FMG 360 y FMG530, donde se localizan genes determinantes
de virulencia para el cerdo y genes no esenciales que
realizan funciones determinantes de la infección
y de la replicación del virus en cultivos de macrófagos
porcinos. |
| En
la región variable derecha se han identificado
al menos un gen conservado UK, asociado a virulencia
en cerdos domesticos no esencial para el crecimiento del
virus en cultivos de macrófagos. En esta región
también se ha identificado un gen conservado entre
distintos aislados citopatogénicos, el ORF l11L
que probablemente codifica una proteína de membrana,
y su delección no afecta al crecimiento del virus
en cultivos celulares de macrófagos ni a la virulencia.
|
|
|
Se han identificado hasta 34 proteínas
estructurales y más de 100 proteínas
de infección en macrófagos
infectados por el virus, de las cuales al menos 50 son inmunogénicas
e inducen anticuerpos en la infección natural.
Algunas de estas proteínas son muy antigénicas,
como las proteínas estructurales p72, p54 (25 kda)
y p12 implicadas en la unión del virus a la célula,
y la p32, implicada en eventos relacionados con la internalización
del virus. Aunque estas proteínas no se han relacionado
con la inducción de mecanismos inmunitarios que confieran
una protección total durante la infección, son
de gran utilidad como antígenos para el diagnóstico
serológico.
|
|

Localización de proteínas inmunogénicas
vp72, 32, 12, y 54 en la partícula viral.
|
|
Las proteínas virales son muy similares
entre los diferentes aislados, siendo las más variables
las codificadas por genes pertenecientes a las familias multigénicas.
|
| Replicación y persistencia
|
|

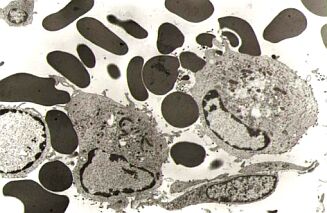
Células del sistema monocito-macrófago
infectadas con el vPPA, donde se observa el fenómeno
de hemoadsorción.
|
|
El
virus infecta naturalmente a células del sistema inmune,
los monocito-macrófagos,
produciendo un fenómeno característico de hemoadsorción
antes de la destrucción de la célula infectada.
También se ha observado replicación viral en células
endoteliales, hepatocitos, células epiteliales tubulares
renales y neutrófilos. No se ha descrito la infección
de linfocitos T o B. |
También
replica naturalmente en garrapatas, O. Moubata y O. Erraticus.
El VPPA se ha adaptado para crecer y multiplicarse en distintas
líneas celulares estables donde produce un efecto
citopático. Entre ellas destacan las líneas
de riñon de mono MS (monkey stable) y Vero, que son utilizadas
en los estudios de investigación y en la producción
de reactivos para diagnóstico,.
La entrada del virus en la célula
tiene lugar por un mecanismo de endocitosis mediada por receptor.
|
|

Efecto citopático de un cultivo de macrófagos
porcinos infectados con el vPPA.
|
|
El papel que juegan los
distintos mecanismos inmunológicos de base humoral
y celular durante la infección por el VPPA es todavía
incierto. Se han descrito distintos mecanismos efectores celulares
y humorales durante la infección del VPPA, pero no
se conoce cual es su implicación en la protección
frente a la infección.
|
|
La infección por
VPPA origina una respuesta de anticuerpos específicos
de gran magnitud, que es fácilmente detectable por
las técnicas de diagnóstico laboratorial a partir
del dia 7 post infección. Los
anticuerpos específicos perduran durante mucho tiempo
incluso años, y están implicados en un retraso
en la aparición de síntomas clínicos
y una reducción de los niveles de viremia.
Sin embargo, estos anticuerpos
no poseen capacidad de neutralización total del vPPA.
|
Imprimir
|