| Los signos clínicos
de la enfermedad varían con la edad del animal, su
estado inmunitario, las condiciones ambientales y el grado
de exposición al agente infeccioso. El curso clínico
de la enfermedad puede adoptar tres formas distintas: hiperaguda,
aguda o crónica.
El cuadro hiperagudo y agudo es típico de explotaciones
libres del agente mientras que el cuadro crónico
está más relacionado con áreas donde
la enfermedad presenta carácter endémico. |
|
Por lo general afecta a los cerdos entre las
8-18 semanas de vida. Tanto la morbilidad
como la mortalidad
pueden ser exacerbadas por la presencia de patologías
como la enfermedad de Aujeszky y PRRS.
Se considera, por regla general, que la incidencia de
la pleuroneumonía porcina está ligada a
variación estacional, siendo normal observar expresiones
clínicas en épocas frías del año.
No obstante, existen autores que consideran que la incidencia
de la enfermedad se mantiene a lo largo de todo el año.
|
|
Este cuadro se caracteriza por la siguiente secuencia
de acontecimientos:
Aparición repentina de algunos animales muy
enfermos con hipertermia (41,5 - 42 ºC), anorexia
y apatía.
Período breve de vómitos,
diarrea leve, tos
y epistaxis. Rápido
incremento del pulso, insuficiencia cardíaca y
respiratoria.
|
|
Cianosis en piel
de nariz, orejas, patas y, finalmente, de todo el cuerpo.
|
 |
|
Pulse para visualizar vídeo
(3,3 Mb ).
|
|
Fase terminal:
- Posición de perro sentado.
Disnea grave con respiración
bucal y disminución brusca
de la temperatura rectal.
- Secreción abundante,
espumosa y teñida de sangre a través de
los ollares nasales y de la boca, antes de la muerte.
- Muerte dentro de las 24 - 36 horas
del desarrollo de los síntomas clínicos.
En animales jóvenes la muerte puede presentarse
tan rápidamente que no lleguen a observarse los
síntomas anteriormente mencionados.
- En reproductoras se han descrito de forma ocasional
abortos.
- Las tasas de morbilidad
y mortalidad oscilan
alrededor del 30 - 35%, dependiendo
de la experiencia inmunológica de la explotación.
|
|
|
|
Ocasionalmente:
- Muerte súbita sin
síntomas clínicos.
- En cerdos neonatos
la enfermedad ocurre como una septicemia aguda (resultados
fatales).
|
|
|
|
En el mismo o en diferentes corrales dentro de la nave,
aparecen muchos cerdos afectados con hipertermia
(40,5 - 41 ºC). Los animales enfermos rechazan
la comida, no quieren beber y están deprimidos.
Se observan síntomas respiratorios graves: tos,
disnea y ocasionalmente respiración por la boca.
Se presenta insuficiencia cardíaca
y circulatoria con congestión de extremidades.
Evidente pérdida de condición
corporal después de 24 horas de iniciarse
la enfermedad.
La evolución de la enfermedad difiere de unos
animales a otros, dependiendo de la extensión de
las lesiones pulmonares y del tiempo de iniciación
del tratamiento terapéutico.
La muerte se debe a una combinación de un fallo
cardíaco y de toxinas producidas por el
organismo.
Es posible observar cualquier tipo de evolución:
desde la muerte de animales en pocos días hasta
la evolución a la forma crónica pasados
unos días del inicio de la enfermedad.
En la fase aguda de la enfermedad la morbilidad es
muy alta ( 10 - 50%) y la
mortalidad oscila entre el 3 - 30%
en animales de engorde y superior al 40% en cerdos más
jóvenes. Las tasas de morbilidad y mortalidad
dependen de la virulencia de la cepa y de las condiciones
ambientales en particular.
|
|
Aparece después del cuadro
agudo o al mismo tiempo. No existe fiebre y se
observa tos variable e intermitente.
Apetito reducido, intolerancia
al ejercicio (estos animales son los últimos
en levantarse cuando se entra en la explotación).
Los animales afectados presentan una neumonía caracterizada
por respiración abdominal
debido a una pleuritis muy dolorosa.
Los síntomas clínicos pueden exacerbarse
por otras infecciones respiratorias (bacterias, virus,
micoplasmas).
|
|
Los cerdos afectados pueden transportar el microorganismo
durante largos períodos de tiempo y por lo tanto
representan un riesgo potencial para los cerdos más
jóvenes.
Expresiones clínicas esporádicas:
- El serotipo 3 de A. pleuropneumoniae
puede causar artritis, endocarditis
y oscesos en diferentes localizaciones
en animales individuales.
- Últimamente se ha relacionado la enfermedad
del oído medio con infecciones de A.
pleuropneumoniae.
|
|
Las lesiones macroscópicas se localizan
principalmente en el aparato respiratorio incluyen: neumonía
bilateral que afecta a los lóbulos apicales, cardíacos
y parte del diafragmático donde las lesiones neumónicas
están focalizadas y bien definidas. Desde el punto
de vista anatomopatológico, se definen las lesiones
como: neumonía necrótica y fibrinohemorrágica
con pleuritis fibrinosa.
|
|
|
|
- En cuadros hiperagudos,
la tráquea y los bronquios están llenos
de exudado mucoso, espumoso y teñido con sangre.
Las áreas neumónicas aparecen oscuras y
sólidas con poca o ninguna pleuritis fibrinosa.
- En casos agudos, la pleuritis
es muy obvia y la cavidad torácica contiene liquido
sanguinolento. A medida que las lesiones avanzan, la pleuritis
fibrinosa se vuelve fibrosa y puede adherirse tan fuerte
a la pleura parietal que el parénquima pulmonar
puede permanecer fijado a ésta cuando se extraen
los pulmones en el examen postmortem.
- Las lesiones pulmonares de color rojo oscuro se vuelven
de un color brillante y permanecen firmes solo en las
áreas más afectadas. Las lesiones se retraen
y disminuyen de tamaño a medida que la resolución
progresa, hasta que en los casos más crónicos
permanecen nódulos de diferentes
tamaños ( abscesos firmes bien demarcados),
la mayoría de ellos localizados en el lóbulo
diafragmático. Estos nódulos pueden asociarse
con áreas de pleuritis
fibrosa adherente.
- Una elevada incidencia de pleuritis
crónica al sacrificio es muy sugerente de
la presencia de pleuroneumonía porcina.
|
|
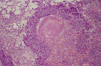
En las áreas pulmonares afectadas de la forma
aguda, se observa una intensa congestión, hemorragia
y edema alveolar. En estos territorios los septos
interlobulillares aparecen engrosados a causa del edema
intersticial, con los vasos linfáticos dilatados,
y presencia de células inflamatorias y eritrocitos
entre las redes de fibrina (Fig.
5).
Los alvéolos contienen células inflamatorias,
células descamadas y fibrina. Las
lesiones características consisten en áreas
de necrosis por coagulación asociadas con vasculitis
y trombosis. Alrededor de los focos de necrosis
destaca una franja celular basófila formada por
acúmulos de leucocitos degenerados de aspecto fusiforme,
identificados como macrófagos y neutrófilos,
que llenan las luces alveolares (Fig.
6).
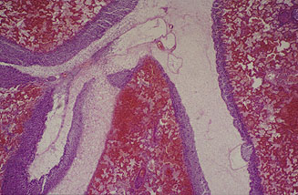
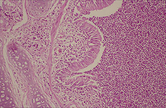
Las lesiones en vías aéreas de conducción
se manifiestan en forma de exudados bronquiolares compuestos
por células epiteliales, células inflamatorias
degeneradas y fibrina. La pleuritis en el periodo agudo
es serofibrinosa con linfangiectasias en el parénquima
subyacente.
|
|
Fig. 5

Fig. 6

|
|
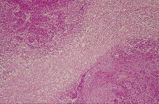
(Fig. 7)

(Fig. 8)

|
|
Si el proceso evoluciona hacia la
cronicidad tiene lugar la proliferación de tejido
de granulación alrededor de las zonas de necrosis,
que resultan posteriormente limitadas por una cápsula
de tejido conectivo (Fig. 7).
Estas lesiones contienen un elevado
número de microorganismos, lo que determina un
estado de animales portadores crónicos, pudiendo
tener lugar una exacerbación de los síntomas
y la aparición de complicaciones debidas a la intervención
de otros microorganismos oportunistas. En esta
fase aparecen exudados purulentos en bronquios y bronquiolos
(Fig. 8) y si no se produce
la reabsorción del exudado fibrinoso pleural, éste
evoluciona hacia la fibrosis con formación de sinequias.
En los ganglios linfáticos regionales se observa
linfadenitis purulenta.
Una de las complicaciones más
frecuentes de la pleuroneumonía porcina es la pericarditis
serofibrinosa con desarrollo posterior de adherencias
y engrosamiento fibroso. Aunque en la mayoría de
los casos las lesiones están limitadas a la cavidad
torácica, a veces se puede observar también
peritonitis fibrinosa, meningoencefalitis purulenta, endocarditis
ulcerosa, artritis y osteomielitis.
|
Imprimir
|