| Curso
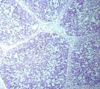
de Enfermedades Infecciosas Porcinas / Deplecion-Pleyer Galería Fotográfica - Peste Porcina Clásica |

| DEPLECION PEYER: Folículos linfoides de una placa de Peyer en el que se observa hipocelularidad con presencia de restos celulares en los espacios libre. |