| Curso
de Enfermedades Infecciosas Porcinas / Cuerpo-Apopto Galería Fotográfica - Peste Porcina Clásica |

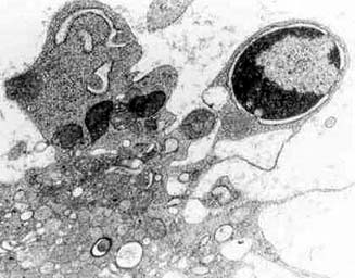
| CUERPO APOPTÓTICO: Fragmentación citoplasmática con formación de cuerpos apoptóticos rodeados. El núcleo muestra condensación de la cromatina. |