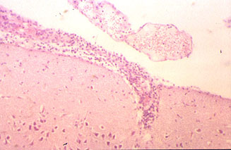
Curso de Enfermedades Infecciosas Porcinas / Fig. 37
Galería Fotográfica - Peste Porcina Africana

Anterior Inicio Siguiente

Fig. 37: PPC. Cerebro. Meningoencefalitis no purulenta. Engrosamiento de la meneige debido al infiltrado inflamatoriode linfocitos.