Curso de Enfermedades Infecciosas Porcinas / Vesículas
Galería Fotográfica - Enfermedad Vesicular del Cerdo

Anterior Inicio Siguiente

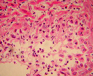
Vesícula con células epiteliales con degeneración hidrópica e infiltrado inflamatorio abundante formado por neutrófilos y macrófagos, coincidente con una infección bacteriana secundaria. H-E x 400.