Curso de Enfermedades Infecciosas Porcinas / Microvesículas
Galería Fotográfica - Enfermedad Vesicular del Cerdo

Anterior Inicio Siguiente

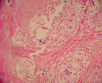
Microvesículas formadas y confluentes. Degeneración hidrópica de las células epiteliales, con aspecto eosinofílico y redondeado y desprendidas en el interior de la vesícula. Epitelio escamoso estratificado, extremidad anterior. H-E. x 250.