Curso de Enfermedades Infecciosas Porcinas / Aujeszky
Galería Fotográfica - Peste Porcina Clásica

Anterior Inicio Siguiente

V-Auyeszky

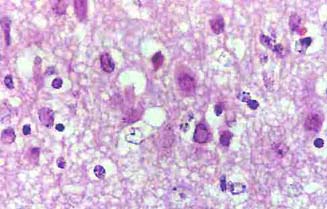
AUJESZKY: Cuerpos de inclusión basófilos intranucleares.