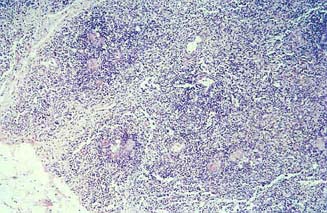
Curso de Enfermedades Infecciosas Porcinas / Timo-Atrofia
Galería Fotográfica - Peste Porcina Clásica

Anterior Inicio Siguiente

Timo-Atrofia

TIMO-ATROFIA: Atrofia tímica en la que se ha perdido la zona de la corteza (linfocitos T).