Curso de Enfermedades Infecciosas Porcinas / Apoptosis
Galería Fotográfica - Peste Porcina Clásica

Anterior Inicio Siguiente

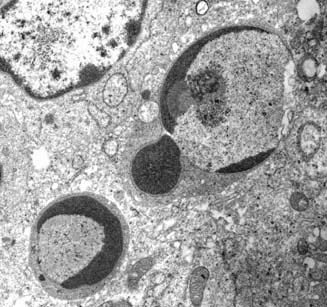
Apoptosis

APOPTOSIS: Linfocitos en apoptosis con condensación y marginación de la cromatina y sin cambios morfológicos en el citoplasma.