| Curso
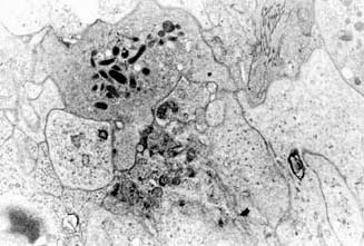
de Enfermedades Infecciosas Porcinas / Agr-Plaquetas Galería Fotográfica - Peste Porcina Clásica |

| AGREGACION PLAQUETARIA: Mosaico de plaquetas degranuladas en la pulpa esplénica roja en la primera fase de la enfermedad constituyendo un agregado plaquetario. |